강직척추염과 축형 척추관절염의 진단기준에서 쓰이는 엉치엉덩관절, 천장관절 MRI와 Xray 에 대해 알아보겠습니다.
일전 글에서 강직척추염과 축형 척추관절염의 진단기준에 대해서 자세히 말씀드린 적이 있습니다.
진단에 대한 자세한 내용은 아래의 글을 참조하시기 바랍니다.
강직성 척추염의 진단, 축형 척추 관절염, 척추 관절병증, 부산 류마티스, 강직척추염, 부산전문,
강직척추염 ( ankylosing spondylitis) 은 이전에는 1984 미국류마티스 학회 진단 기준을 이용해서 진단해왔습니다. 이 진단 기준에 따르면 아래 한가지 이상의 임상양상 + 한가지 이상의 방사선 소견
www.topdoctor.kr
말씀드린 것처럼 이전에는 강직척추염 ( ankylosing spondylitis) 의 진단을 위해서는 Xray 를 이용해서
진단한다고 말씀드렸습니다.
이 진단기준은 1984년에 만들어지다보니 좀 오래된 진단기준인데
문제는 X ray 로 강직척추염을 진단하려면
강직척추염이 상당히 진행된 경우에만 진단이 가능한 점이었습니다.
강직척추염 부산류마티스
부산류마티스 허민영
그러다가 자기공명영상이라는 MRI 라는 영상기술이 도입되면서
지금은 Xray 에서 강직진행이 생기기 전에 강직척추염을 진단할 수 있게 되었고
Xray 에서 진행되지는 않은 조기 강직척추염 환자의 진단을 위해
축형 척추관절염이라는 용어를 사용하게 됩니다.
축형 척추관절염에 대한 자세한 내용은 다음 글을 참조바랍니다.
강직성 척추염의 진단, 축형 척추 관절염, 척추 관절병증, 부산 류마티스, 강직척추염, 부산전문,
강직척추염 ( ankylosing spondylitis) 은 이전에는 1984 미국류마티스 학회 진단 기준을 이용해서 진단해왔습니다. 이 진단 기준에 따르면 아래 한가지 이상의 임상양상 + 한가지 이상의 방사선 소견
www.topdoctor.kr
여튼 강직척추염 또는 축형 척추관절염의 조기 진단을 위해서는 MRI 가 필요한데
환자분들이 흔히 생각하는 허리 MRI 와는 달리
대부분의 경우 엉치엉덩관절 (천장관절 , Sacroiliac joint ) MRI를 찍게 됩니다.
물론 경우에 따라서는 허리 MRI, 엉치 엉덩관절 MRI 가 모두 필요할 수도 있고 허리 MRI 만 찍는 경우도 있지만
대부분의 강직척추염의 경우는 엉치엉덩관절, 천장관절 MRI 를 먼저 찍게 됩니다.
이는 엉치엉덩관절이 강직척추염 또는 축형 척추 관절염에서 가장 먼저 침범하는 부위기도 하고
가장 변화를 잘 볼 수도 있는 부위이면서
진단기준에 속하는 항목이기 때문이어서도 합니다.

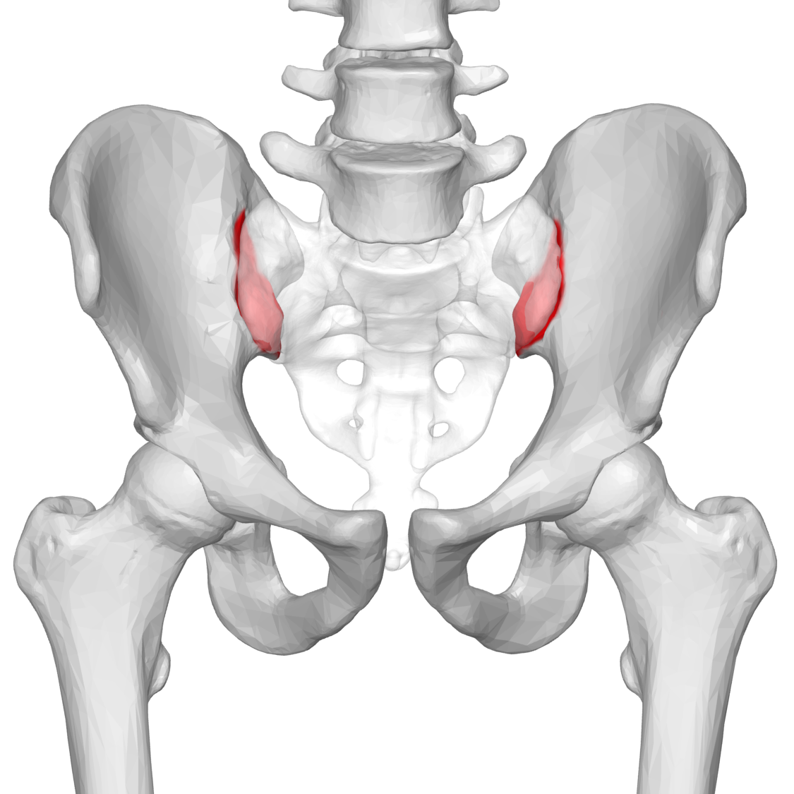
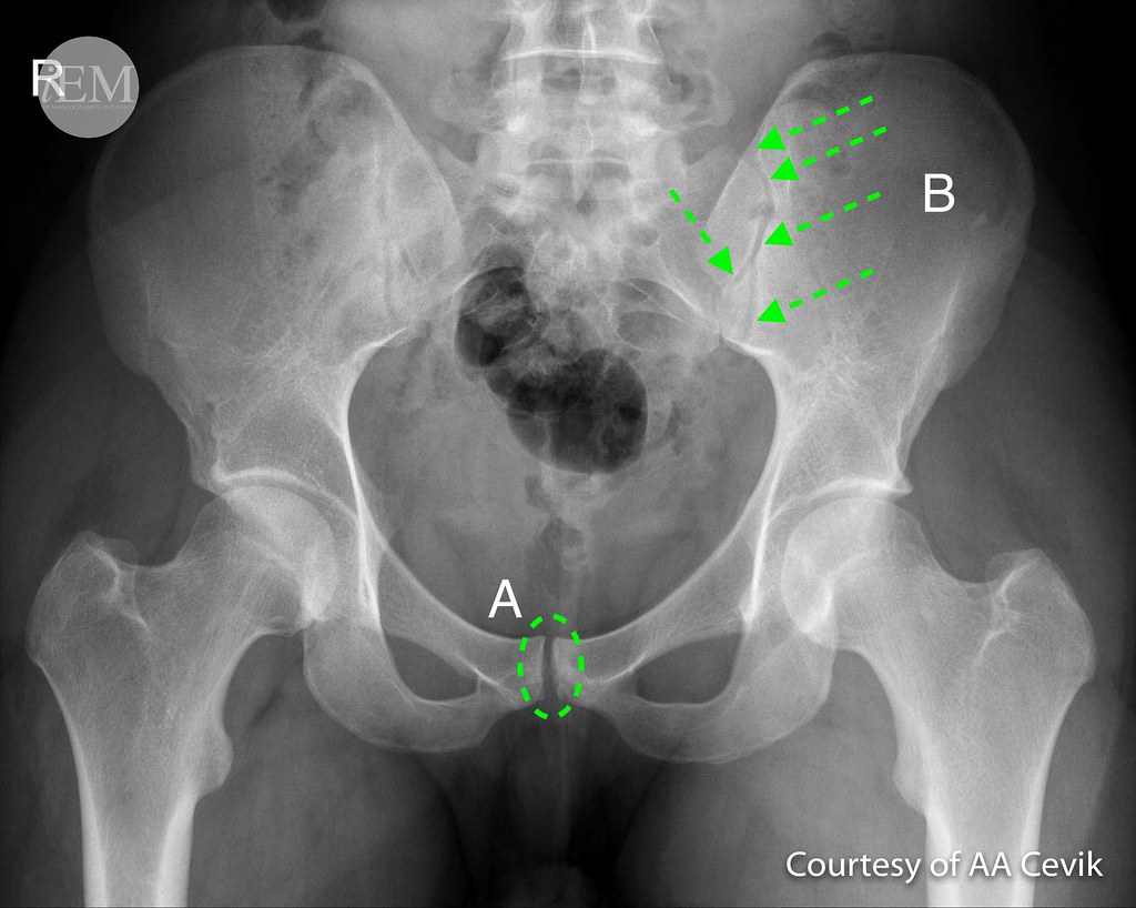
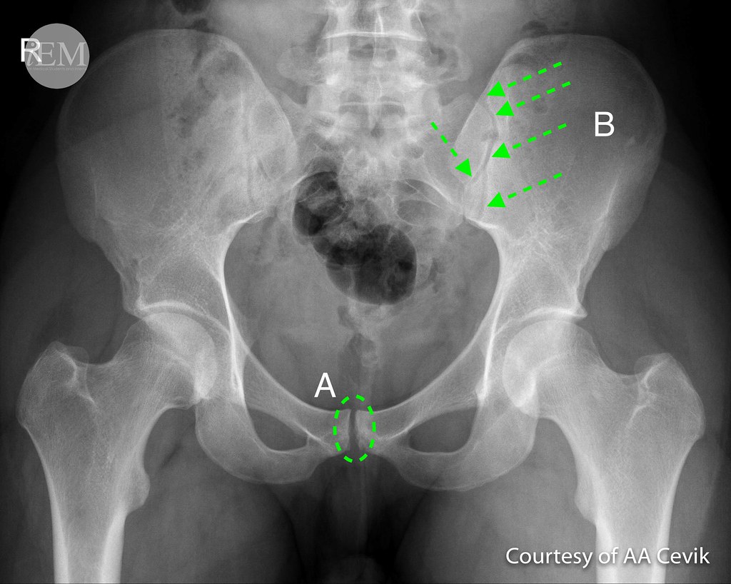
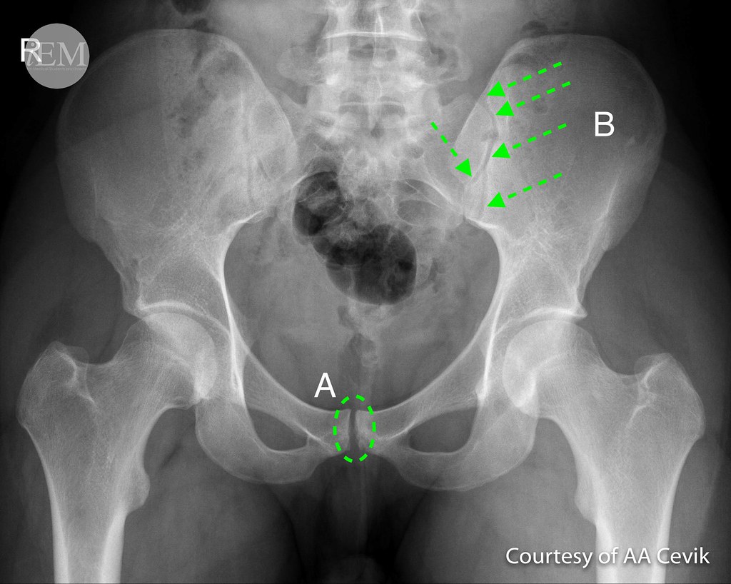
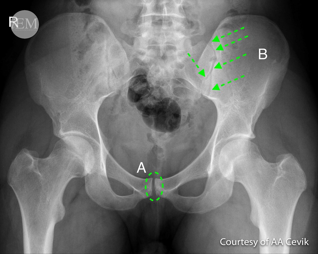
엉치 엉덩관절은 위 그림에서 빨간색으로 표시된 부분입니다.
그리고 위 엉치엉덩관절을 Xray 로 찍게 되면
아래 그림의 B 와 같이 나타나게 됩니다.

전에도 진단기준을 말씀드린 적은 있지만 강직척추염의 경우는
방사선학적으로
1) 양측 2도 이상의 천장관절염 또는
2) 단측 3도 또는 4도의 천장관절염 소견이 있어야 하고

축형척추관절염의 경우
1) MRI 에서 척추성 관절병증에 합당한 염증 소견이 천장관절에 나타나는 경우
2) 방사선적으로 1984 미국류마티스 학회 소견에 합당한 방사선학적 천장관절염 소견
강직척추염 부산류마티스
부산류마티스 허민영

즉 보시는 것처럼 천장관절염 소견이 기본적으로 동반되어야
강직척추염이나 축형 척추관절염의 진단이 가능합니다.
이렇게 진단기준으로는 Xray 나 MRI 를 사용가능하지만
Xray 는 너무 뒤늦게 진단이 가능하고
MRI 는 비용이 너무 비싸고
(MRI 에서 일단 강직척추염 소견을 보이면 MRI 가 보험이 가능하고 또 산정특례로 등록도 가능해서 비용이 크지 않습니다.)
이러한 Xray 나 MRI 의 특징 때문에 엉치엉덩관절 (천장관절) 의 CT 를 찍게 되는 경우도 있습니다.
CT 는 X ray 보다는 조기에 강직척추염 등의 진단이 가능하고
MRI 보다 가격이 저렴하다는 장점이 있습니다.
다만 질병의 초기에는 CT 마저 정상이고 MRI 에서만 염증 소견을 보이는 경우도 있고
염증 자체의 소견은 CT 보다는 MRI 에서 잘 볼 수 있기 때문에
강직척추염에서 MRI 가 선호되는 면은 있습니다.
이처럼 강직척추염은 유전자 검사와 MRI 를 통해 이전보다 더 질병의 초기에 진단이 가능하게 되었습니다.
외래에서 나이가 많으신 강직척추염 환자분들을 뵙다보면
저분들도 좀 더 이른 나이에 진단을 받으셨으면
좀 더 적극적으로 치료를 받고 지금 더 건강한 모습으로 뵐 수 있었을텐데 하는 생각이 듭니다.
강직척추염 부산류마티스
부산류마티스 허민영
글 내용 일부는 최신 내용이 아니거나 정확하지 않습니다. 개개인의 질병이나 치료계획은 진료를 통해 결정하시기 바랍니다.
'Top Doctor 의 건강이야기 > 강직척추염' 카테고리의 다른 글
| 강직성 척추염의 진단, 축형 척추 관절염, 척추 관절병증, 부산 류마티스, 강직척추염, 부산 류마티스 (0) | 2022.04.25 |
|---|---|
| 강직척추염의 치료, 생물학제 제재, 레미케이드, 휴미라, 엔브렐, 심퍼니, 코센틱스, 부산류마티스 (0) | 2022.02.07 |
| 강직 척추염, 강직성 척추염, 무릎 관절염, 발목관절염, 무릎 통증, 부산류마티스내과, 부산 강직척추염 (0) | 2021.06.19 |
| 포도막염 원인, 증상, 베체트병, 강직척추염, 부산 류마티스 (0) | 2020.05.01 |
